В одной из предыдущих записей я постарался рассказать о том, как должно выглядеть лечение кариеса на современном уровне. Теперь настала очередь рассказать о другой самой распространенной процедуре - лечении каналов зубов.
Необходимость такого лечения возникает тогда, когда инфекция из кариозной полости достигает пульпы зуба, вызывая ее необратимое воспаление - пульпит. Единственным вариантом лечения в таком случае остается ее удаление из корневых каналов – депульпирование. Вторым диагнозом, который заставляет доктора лезть так глубоко, является периодонтит. Этот воспалительный процесс протекает уже не внутри корневых каналов, а вокруг корней зуба, в периодонте, вызывая разрушение костной ткани (и последствия этого хорошо видны на рентгене). Я специально не останавливаюсь подробно на терминах, т.к. в сети можно найти достаточно много справочных статей разной степени заумности об этих заболеваниях, об их причинах, симптомах, разновидностях, способах лечения этих разновидностей.
Достаточно сделать запрос по ключевым словам «пульпит» и «периодонтит». А мне хотелось бы подробнее остановиться на основной манипуляции, которую приходится осуществлять стоматологу при этих заболеваниях – лечении каналов (эндодонтическое лечение). При этом я попытаюсь достаточно кратко осветить те общие принципы и методики лечения, которые помогут Вам увидеть насколько грамотно и современно осуществляет это лечение Ваш стоматолог. Это важно, поскольку последствия от некачественного выполнения манипуляций в корневых каналах напрямую приводят к потере зуба раньше времени.
Если попробовать изложить стандартный современный протокол любого эндодонтического лечения, то в сокращенном виде это будет выглядеть примерно так…
![]() | Вначале врач делает доступ к каналу (-ам) зуба. В разных зубах их, как правило, от 1 до 4…бывает и больше. На этом фото два отверстия по углам полости зуба - это и есть входы в корневые каналы |
![]() | Затем производится постепенное расширение канала тонкими гибкими инструментами и одновременное механическое удаление остатков пульпы |
![]() | Параллельно канал обильно промывается различными препаратами, в первую очередь «хлоркой» (гипохлорит натрия в концентрации от 3 до 5%) |
![]() | Также канал чистится ультразвуком |
![]() | После того как канал достаточно отмыт и расширен, его пломбируют гуттаперчей и небольшим количеством специальной пасты |
![]() | Далее зуб восстанавливается тем способом, который лучше подходит для конкретной клинической ситуации |

Коффердам помогает стоматологу надежно и герметично изолировать полость рта от зуба, с которым проводятся манипуляции. Почему это важно? Во время расширения каналов врач должен обильно промывать канал «хлоркой» (зачем и почему напишу чуть ниже). Это довольно сильный едкий препарат и при попадании на слизистую полости рта может вызвать серьезный химический ожог. Кроме того, одной из задач лечения каналов зубов является снижение количества микрофлоры в канале зуба до незначительного минимума. Если зуб будет плохо изолирован от полости рта, то не исключено попадание туда во время лечения инфицированной слюны, а значит, эффективность лечения сильно снизится и в будущем возможны осложнения. По этой причине особенно трудно обойтись без коффердама при лечении каналов нижних боковых зубов.оффердам помогает стоматологу надежно и герметично изолировать полость рта от зуба, с которым проводятся манипуляции. Почему это важно? Во время расширения каналов врач должен обильно промывать канал «хлоркой» (зачем и почему напишу чуть ниже). Это довольно сильный едкий препарат и при попадании на слизистую полости рта может вызвать серьезный химический ожог. Кроме того, одной из задач лечения каналов зубов является снижение количества микрофлоры в канале зуба до незначительного минимума. Если зуб будет плохо изолирован от полости рта, то не исключено попадание туда во время лечения инфицированной слюны, а значит, эффективность лечения сильно снизится и в будущем возможны осложнения. По этой причине особенно трудно обойтись без коффердама при лечении каналов нижних боковых зубов.

Этот процесс всегда можно почувствовать по характерному запаху этого препарата. Почему этот пункт важен? Суть любого эндолечения заключается в том, чтобы максимально качественно очистить систему каналов от органических остатков (т.е. от остатков пульпы). Поскольку именно они являются субстратом для питания микрофлоры. Если в канале остается органическая «грязь» и потом еще и закупоривается, то таким образом создаются идеальные условия для развития «плохих микробов» - есть еда, нет губительного кислорода, а значит для «микрочервячков» наступает благоденствие. А вот организм на это вынужден реагировать воспалением. Так со временем получаются гранулемы и кисты. Так вот про хлорку и важность ее использования… Крупные фрагменты пульпы удаляются при механическом расширении канала металлическими «иголочками» - файлами. Мелкие фрагменты удаляются как раз при промывании канала. Кроме того именно гипохлорит натрия «умеет» растворять самые мелкие фрагменты органических остатков. Не сразу, не моментально… но минут за 40-60 постоянного использования «хлорки» в одном канале растворяется полностью все без остатка. Если стоматолог этого не делает, то на стенках даже хорошо расширенного канала останется «фарш», которым с удовольствием будет питаться микрофлора, вызывая хронический воспалительный процесс в кости вокруг зуба.


Этот процесс происходит параллельно с промыванием канала «хлоркой». Специальным наконечником стоматолог периодически активирует раствор прямо в канале зуба. Насадка ультразвукового наконечника колеблется с высокой частотой, создавая завихрения раствора, который при этом значительно лучше удаляет органические остатки из зубных каналов. Фактически работает это все по принципу ультразвуковой мойки. Таким образом, работа с ультразвуком позволяет сократить выдержку раствора в канале зуба для полной его очистки от органики до 30-40 мин. При этом важность использования УЗ еще и в том, что каналы в зубах имеют сложную структуру. От главного большого канала, который можно промыть и очистить инструментально, отходят множество более мелких (как ветки на дереве), порой микроскопических. Туда никакой инструмент пройти не сможет. Единственный способ их очистить – загнать туда «хлорку» ультразвуком, чтобы вымыть даже микроскопические остатки пульпы.


Конечная цель врача при эндолечении – расширить, отмыть и запломбировать канал зуба на всю длину, ровно до верхушки. При этом плохо, если есть «перелет» или «недолет». Как правильно определить точную длину канала и почему это важно? «Перелет» или попадание пломбировочного материала за верхушку зуба в окружающую кость нежелательно, т.к. может привести к различным осложнениям. «Недолет», запломбированный не до верхушки зуб чаще всего приводит к возникновению гранулем и кист, т.к. остается необработанная зона, в которой поселяется «плохая» микрофлора. Как же точно определить длину канала? Для этого врач стоматолог пользуется рентгеном и/или (лучше безусловно «и») апекслокатором. С рентгеном я думаю все понятно, многие с ним сталкивались. Стоматолог вводит в канал инструмент, отмечает на нем длину и делает снимок. После этого он может эту длину объективно откорректировать. Апекслокатор – очень удобный прибор, этакий эндодонтический парктроник. Он подключается к инструменту, которым доктор расширяет канал, и при приближении кончика инструмента к верхушке корня начинает пищать, чем ближе, тем интенсивнее… точь-в-точь как парктроник в автомобиле. Таким образом стоматолог может в реальном времени контролировать глубину погружения инструмента с точностью до долей миллиметра. Причем первые апекслокаторы достаточно сильно врали, особенно если канал не был сухой… Современные приборы дают очень точные результаты, практически сведя к минимуму необходимость постоянного обращения к рентгену. При этом все же золотой стандарт эндодонтии – использование апекслокатора на протяжении всего лечения, плюс 3 рентгеновских снимка для каждого зуба: статус до лечения, во время (как правило, с инструментами или штифтами, погруженными на всю длину всех каналов), после окончания лечения каналов и реставрации зуба. Причем роль этих снимков скорее документальная.


После окончания непосредственного лечения каналов для качества отдаленного результата является очень важным правильный выбор методики выполнения реставрации зуба. Очень часто зубы, которые подверглись эндолечению имеют большие дефекты, распространяющиеся под десну, тонкие ослабленные стенки… П ри этом многие терапевты лучшим решением в таких ситуациях видят восстановление зуба пломбой, иногда укрепляя ее каким-либо штифтом. В результате получается недолговечная с точки зрения герметизма конструкция, которая через некоторое время либо просто ломается, либо начинает «подтекать». Т.е. по шву между пломбой и зубом инфекция из полости рта снова проникает к корневым каналам, повторно их инфицируя. Только поскольку зуб уже «мертвый», лишен нерва, пациент это может долгое время никак не ощущать. И лишь через несколько лет случайной находкой или с появлением первых симптомов обнаруживается «новая старая» проблема в виде гранулемы или кисты. Вот поэтому в современной стоматологии стандартом после эндолечения является изготовление коронки (если зуб имеет потерю тканей более 50%) или керамической накладки (если зуб относительно неплохо сохранен, и имеет хорошо сохранившееся по всему периметру стенки). Таким образом хорошо и правильно выполненная реставрация не менее важна для сохранения долгосрочного результата лечения, чем правильное «ковыряние в каналах».
В конечном счете, чтобы провести все этапы лечения на должном уровне для неосложненного первичного лечения каналов (т.е. когда зуб впервые вскрывается), скажем, бокового зуба (у которых обычно не меньше 3-4каналов) требуется 1-1,5 часа рабочего времени. И это только работа в каналах до момента их пломбировки. Без учета реставрации самого зуба. Если же намечается перелечивание ранее депульпированных зубов, то здесь затраты времени могут быть намного больше. Т.к. обычно врач сталкивается с дополнительными трудностями – необходимость извлечения инородных тел из канала (обломки инструментов, удаление штифтов), распломбировки старого материала (раньше, например, нередко для пломбировки каналов применялись цементы, выбить их из канала – весьма трудоемкая задача). Поэтому повторное лечение каналов зачастую разбивается на несколько посещений.
Вот так довольно кратко и схематично можно представить современный процесс эндодонтического лечения. Безусловно, в короткой статье довольно трудно охватить все аспекты подробно, поэтому постараюсь в других статьях на примере конкретных клинических случаев остановиться более подробно на важных тонкостях этого процесса.
Сегодня я хочу продолжить представлять Вам свои собственные клинические случаи, на примере которых можно более ясно понять некоторые детали эндодонтического лечения.
В одной из прошлых заметок я показывал одну из основных причин развития хронического воспаления в костной ткани вокруг корня зуба, а именно пропущенные во время первичного лечения каналы. Сегодня я покажу еще 2 случая, примерно похожих, когда пришлось столкнуться не только с ошибками при первичном лечении каналов, но и вдобавок к этому с неправильно выбранной методикой реставрации "мертвых" зубов.
Итак...
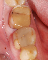
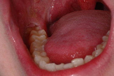
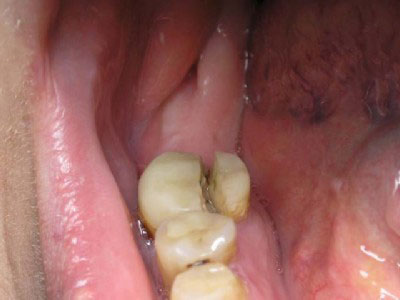
Ко мне обратилась пациентка с просьбой попробовать «спасти» нижний 6-ой зуб от удаления. Вот так он выглядел в полости рта.


Что мы здесь видим? Ну, во-первых, напрочь отсутствующую анатомию зуба. Огромная полость заштукатурена (другого слова и не подберешь) без малейшей попытки создать на зубе необходимый для жевания рельеф поверхности с бугорками и бороздками между ними. Через материал просвечивает анкерный штифт, который призван удерживать эту «нашлепку» внутри зуба. Во-вторых, по краям пломбы заметно прокрашивание границы, т.е. пломба уже давно негерметична, а, значит, внутрь просачивается микрофлора полости рта, вызывая рецедив кариеса и воспалительный процесс в костной ткани вокруг корня. В-третьих, мы можем видеть только 2 сохранившихся стенки собственного зуба, которые к тому же изрядно истончены. Учитывая, что зуб давно мертвый, методика реставрации явно выбрана неудачная. Да и исполнена при этом весьма скверно. Дело в том, что наши жевательные зубы испытывают достаточно серьезные нагрузки при жевании (по разным данным около 100 кг на см2), и оставшиеся тонике стеночки в любой момент могут треснуть. Нередко трещина уходит глубоко под десну и в итоге зуб приходится удалять. Поэтому если зуб депульпирован и имеет значительные разрушения (как в нашем случае), то его нужно обязательно восстанавливать коронкой. Только в этом случае Вы будете застрахованы от любых неприятных сюрпризов. Но для данного зуба это только полбеды. Не меньшая проблема содержалась и внутри.


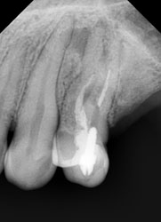
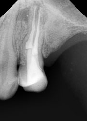
На этом рентгеновском снимке видны, в первую очередь, «пустые» корневые каналы и довольно больших размеров очаг воспаления (то, что часто называют гранулемой, кистой) на верхушке одного из корней. В общем итоге в одном зубе был сконцентрирован целый букет ошибок и недоделок, одним словом, это образец недобросовестной работы стоматолога. Я стараюсь о коллегах всегда говорить или хорошо или молчать, но в данном случае надо смотреть правде в глаза – зуб загублен именно стоматологом. Никаких объективных сложностей для качественной работы изначально здесь не было. Зато появились теперь. Прогноз на будущее для таких зубов всегда строится, исходя из 2 основных проблем – насколько приведет к успеху повторное лечение каналов и насколько будет успешной попытка адекватного восстановления зуба после этого. Оценив вероятность долговременного успеха этих двух составляющих, можно решать, стоит ли «спасать» зуб от щипцов хирурга. Ведь, в любом случае, лечение стоит денег, а гарантировать результат здесь невозможно. Можно только предполагать вероятность успеха. В данном случае каналы не выглядели непроходимыми. Да и восстановить зуб коронкой, даже несмотря на большую степень разрушения, все еще представлялось возможным. А потому было принято решение о начале лечения.




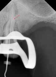
Первую часть задачи по спасению удалось выполнить. Теперь этот зуб будет находиться под наблюдением в течение 3-4 месяцев. После этого срока будет сделан контрольный рентген, который должен показать, насколько успешной была наша попытка спасти зуб от удаления, а именно, мы ожидаем уменьшения очага воспаления вокруг корня. Если эта тенденция будет явно заметна, только тогда будет принято окончательное решение о восстановлении зуба коронкой. А на очереди у этой пациентки сосед-«близнец» этой многострадальной 6-ки, 7-ой нижний зуб. Что тут скажешь?.. Узнаваемый почерк предыдущего доктора.
Во втором случае начиналось все довольно похоже.


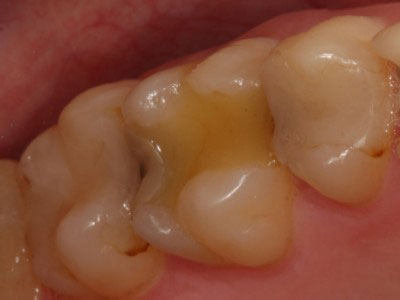
Такая же негерметичная пломба, такой же анкерный штифт… при этом твердые ткани сохранены гораздо лучше первого случая. По всему периметру зуба граница полости находится выше уровня десны, а, значит, по крайней мере, прогноз на долговечность реставрации будет вполне оптимистичным.
После удаления старой пломбы и анкерного штифта можно увидеть, что происходит внутри зуба под внешне вроде бы неплохой пломбой.

Что касается корневых каналов, то именно здесь и были основные сложности. Оба канала были не слишком здорово обработаны и запломбированы, в результате чего на обоих корнях появились гранулемы.


Но обычный рентгеновский снимок дает плоское 2хмерное изображение, разные структуры накладываются друг на друга, и сложную анатомию каналов на нем не всегда можно разглядеть. Что и произошло в этом случае. Один из каналов имел двойной изгиб. При предыдущем лечении доктор не смог по каким-то причинам этот изгиб увидеть и пройти, уперся в стенки корня, создав т.н. «ступеньку».

Это довольно неприятное осложнение, т.к. при повторном лечении «нащупать» снова реальный ход естественного канала очень непросто. А без этого невозможно рассчитывать на успех лечения. Представьте себе, что Вам надо наощупь, с закрытыми глазами вдеть нитку в самое маленькое игольное ушко… При этом ушко иголки находится в глубине канала диаметром всего 1-2 мм. Примерно с этим каждый раз сталкивается эндодонтист в таких случаях. В решении таких задач нужно большое мастерство, хорошее оснащение, пространственное мышление, изрядное терпение (причем и со стороны пациента тоже), ну, и доля удачи.

Это только половина той кучки инструментов, которую пришлось в итоге выбросить в утиль. Это наглядная демонстрация того, почему сложное повторное эндодонтическое лечение такое время и ресурсозатратное, и, соответственно, почему обходится так недешево.
Но главное во всем этом, что если удается сохранить свой родной зуб от удаления, то это того стоит. Ибо со всей сегодняшней продвинутостью имплантационных технологий самый крутой и лучший «имплантат» – это свой родной зуб. И поэтому неудивительно, что многие пациенты охотно идут на сохранение своего, несмотря на то, что стоимость перелечивания каналов и последующего восстановления зуба сравнима со стоимостью установки импланта средней ценовой категории.



В данном случае с эндодонтической точки зрения для зуба все закончилось хорошо. В дальнейшем примерно через 3 месяца будет сделан контрольный снимок, чтобы убедиться в действенности проведенного лечения. А именно, будем ждать уменьшения очагов воспалительного процесса в костной ткани, т.е., проще говоря, темные пятна вокруг верхушек корней должны стать меньше. В таком случае такой зуб можно смело реставрировать и рассчитывать на долгий срок его службы.
Пломбирование корневых каналов термопластифицированной гуттаперчей – это соблюдение принципа трехмерности пространства.
В последние годы все больше научных работ в стоматологии посвящено тому, что всего лишь 10% корневых каналов не имеют ответвлений, а классический канал как ветка дерева имеет множество дополнительных каналов. Например, в жевательных зубах 3-5 каналов.
При обычном способе обтурирования (пломбирования) корневой канал заполнялся неравномерно, оставляя пустоты и не обеспечивая полной герметизации, а о заполнении периферийных канальцев и речи не шло – на прежнем этапе развития это было неосуществимо. Незаполненность латеральных канальцев, как правило, приводит к формированию патологических процессов на верхушке корня, разрушению периодонта и последующему удалению зуба. Если канал не обтурируется правильно, патологических процессов на верхушке корня не избежать.
Хороший долгосрочный прогноз после проведенного лечения корневых каналов в немалой степени зависит от того, как стоматолог сумел заполнить сложное внутреннее пространство корня. Методика заполнения корневого канала разогретой гуттаперчей применяется достаточно давно, в настоящий момент мы пользуемся классической технологией используя при этом новейшие приборы.
При обычном пломбировании инструмент расширяет главный канал, который пломбируется гуттаперчивым штифтом, а вся остальная «корневая система» остается с инфекцией.
На нашем ТВ последнее время набрали невиданную популярность разного рода передачи-"страшилки", в которых одним и тем же поставленным нагнетающим страсти голосом нас учат, как выжить в нашей стране. Самой комфортной для жизни, по заверениям нашего президента, она еще только собирается стать к какому-то там году... А пока заботливые ТВ-начальники решили нам помочь узнать, как до этих светлых времен дожить целыми и невредимыми.
Поэтому со всех каналов на нас вываливают бездну актуальной для любого обывателя информации "на каждый день" - как выбрать безопасные игрушки для детей, как не отравиться паленым алкоголем или жидкостью для омывания стекол автомобиля, как проверить, не перебит ли срок годности на пачке молока, а, если уж обнаружили это, то как вернуть некачественный товар хамящему продавцу... и т.д. и т.п. вобщем, нам активно втюхивают инструкции по ежедневному выживанию.
Наконец, обличающий перст телевизионщиков пал и на стоматологов, причем как-то удивительно, что нашего брата решили вывести на чистую воду сразу по нескольким главным каналам страны примерно в одно и тоже время. Может, редакторы и продюсеры разных тв-компаний уже не в силах выдумать сюжеты для очередной серии своей чернухи, и поэтому подсматривают друг у друга темы для свежих страшилок? Как бы там ни было, но вышедшая на Первом канале и уже неоднократно показанная на нем в разное время передача "Скрежет зубовный", вызвала этот самый скрежет у большой части стоматологического сообщества нашей необъятной. Для освежения в памяти содержания программы в конце этой статьи выложено видео.

Что там греха таить, в нашей стране очень много серьезных проблем, в т.ч. и в здравоохранении. Безусловно, есть они и в стоматологии. Но проблемы эти носят системный характер, уходя своими корнями очень высоко наверх - куда, видимо, даже журналистам главного канала страны вход воспрещен. А стращать народ надо каждый день... обязательно к каждому новому выпуску передачи нужно найти врага и указать доступный и простой рецепт борьбы с ним. Тогда будут рейтинги, будут деньги от рекламы, а, значит, и простой журналист, и ТВ-начальник, каждый получат свой кусок от этого денежного пирога. Вот только взахлеб критикуя и размазывая по стенке качество товаров и услуг из разных сфер нашей жизни, господа журналисты совершенно забывают про то, что их собственный продукт может получиться настолько низкосортным, что вызовет изжогу похуже протухшего творожка или некачественной водки. Я, признаться, именно поэтому уже давно не смотрю наше ТВ, и всех передач из цикла "Среда обитания" я не видел, но то, что было снято про стоматологию, оказалось именно той самой "второй свежести". Почему на главном канале может появиться передача с такой непрофессиональной, однобокой и тенденциозной подачей информации? Где проходят обучение редакторы, которые пускают в эфир программу с огромным количеством элементарных фактологических ошибок, не говоря уже про чисто медицинские, на которые мог бы указать даже студент-первокурсник стомат.факультета? Вобщем, вопросы эти риторические. Просто наше ТВ больно и непрофессионально ровно настолько же, насколько и все то вокруг нас, о чем оно рассказывает и что оно показывает. Правда, мне, как стоматологу, не приходило в голову заняться расследованием со своими измышлениями, почему с экранов ТВ нас кормят такими низкопробными продуктами. Так что оставим тв-шников разбираться с их проблемами самим.
Вот уж, действительно, прав был проф. Ф.Ф. Преображенский... Что тогда, что сейчас от "советских" газет и других СМИ можно получить не только расстройство пищеварения
А мне все же хотелось бы прокомментировать то, что нам пытались донести журналисты Первого канала в вышеупомянутом выпуске своей рейтинговой страшилки. К сожалению, подобного рода передачи ориентированы на впечатлительных людей, их цель-запугать, поскольку испуганной толпой управлять легче. Поэтому после выпуска передачи теперь нередко приходится сталкиваться с тем, что некоторые все же проглотили безграмотный бред под названием "Скрежет зубовный".
При этом "раздергать на цитаты" можно фактически все 40 с небольшим минут этого действа. Я этим заниматься не буду, остановлюсь лишь на ключевых вопросах, затронутых журналистами.
Один из наиболее животрепещущих вопросов, красной нитью прошедших через передачу, почему лечить зубы так дорого? Причем ответ у авторов получился до безобразия простой - развод... везде, где лечение кариеса дороже 300-500 р. На самом деле вопрос стоимости стоматологического лечения вообще весьма популярен, ибо в человеческой природе неистребимо желание посчитать деньги в чужом кармане. Кроме того, по мнению многих, стоматология в нашей стране слишком дорога по сравнению с зарплатами в нашей же стране. Вот только чья это вина? Врачей? Или наших зарплат? Авторы программы заявляют, что "стоматологи никогда не скажут, сколько на самом деле стоит пломба и что ее может купить у поставщиков любой желающий". А вот и скажем!
Итак, давайте попробуем разобраться, откуда что берется в ценовой политике стоматологических клиник на примере стоимости лечения банального кариеса (не стоимости "пломбы"! а именно лечении кариеса).
Что нам нужно для того, чтобы вылечить кариес? По мнению авторов программы только кусочек пломбировочного материала себестоимостью 90 р. и знание где его купить... видимо так, поскольку ни о чем больше рассказано не было. Хотел бы я посмотреть на того, кто пойдет в магазин за стоматологическим материалом, а потом на кухне будет себе его запихивать в кариозный зуб, аккуратно разглаживая пальцем. Да и почему тогда уж у журналистов не хватило фантазии пойти еще дальше? Зачем переплачивать производителю пломбировочного материала? Он ведь тоже на нас зарабатывает! Можно было бы выяснить рецепт, наверняка несложный, и самому состряпать пломбу из подручных средств - ну там... цемент из строймага, вода, что-нибудь еще по вкусу... Может у журналистов Первого канала есть и такой опыт?

Руководствуясь их логикой, я имею полное право придти, например, в автосалон и потребовать продать мне, скажем, новый Мерседес по цене полутора тонн металла, т.е. примерно за 15 000 р. Если мне после этого требования не вызовут бригаду врачей соответствующего профиля, я сильно удивлюсь. А может нам труд того самого журналиста, который писал текст передачи, стоит измерять в стоимости листка бумаги и шариковой ручки? Ей-богу, его работа не стоит даже этого.


Но вернемся к стоматологии... Если кто-то вдруг еще не сталкивался с лечением кариеса, то представление о том, как это происходит, можно прочитать статью про лечение кариеса. Уже из этого краткого обзора видно, что для проведения этой процедуры требуется намного больше расходников, чем один только пломбировочный материал. А если совсем хорошо подумать (причем головой, а не тем, чем авторы программы), то еще до того как пациент сядет в кресло, стоматология несет расходы. Давайте, не особо углубляясь, пробежимся... Вы увидели рекламу некой клиники по ТВ или в газете и вспомнили, что надо бы полечить 1 проблемный зуб с кариесом (если Вы поедете именно туда, то обязательно заплатите за просмотр этой рекламы). Приехали к зданию клиники, припарковались на своем авто (аренда земли, зарплата дворнику, расчищающему место для парковки и убирающему территорию). Посмотрели на вывеску и убедились, что это "Та Самая Клиника" (вывеска стоит денег, согласование ее в разных инстанциях тоже). Зашли в здание (аренда помещения, его ремонт, оплата коммунальных расходов). Вас на входе встретила приветливая девушка-администратор (ей нужно платить зарплату). Вам выдали одноразовые бахилы (я постараюсь избегать таких мелочей, но из этих мелочей и складываются реальные затраты). Вам администратор завел в компьютере карточку, распечатал ее на принтере (оргтехника стоит денег, плюс расходники к ней нужны постоянно, если компьютеров в клинике много, то надо платить зарплату системному администратору, следящему за работоспособностью сети, специальная программа для ведения дел в клинике стоит денег и обновления этой программы так же небесплатны). Вы прошли в холл, уселись в уютное кресло, Вам предложили чай, Вы наслаждаетесь рыбками в аквариуме (это тоже стоит денег, как ни странно, за сервис надо доплачивать).


И вот Вас пригласили в кабинет... Ваше лечение еще даже не начиналось, а сколько уже расходов понесла клиника? Вам достали стерильный набор инструментов (стерилизационное оборудование, растворы, оплата труда стерилизационной медсестры). Перед тем как сделать обезболивающий укол, Вам место укола сначала помазали гелем для аппликационной анестезии (гель, шприц, иголка, карпула анестетика). И теперь собственно лечение (если весьма поверхностно, то для этого понадобится установка, наконечники, боры, коффердам, слюноотсос, пылесос, ватные ролики, куча всяких доп. приспособлений типа матриц и клиньев, различные медикаменты типа спирта, перекиси водорода, хлоргексидина, пломбировочный материал – вот здесь те самые пресловутые 90 р пробегают лишь маленьким упоминанием среди уймы позиций реальных расходов, полировочные принадлежности, зарплата врача, зарплата ассистента... вобщем, я думаю, и этого хватит, чтобы понять насколько поверхностно подошли журналисты к реальной оценке стоимости "пломбы"). В конце дня в клинику после всех пациентов приходит уборщица (ей надо платить зарплату), а ночью кто-то должен все это охранять (оплата охраннику или оплата сигнализации и какому-нибудь ЧОПу). Вот так... все это надо, чтобы полечить банальный кариес. Если Вам показалось занудным, то все это еще весьма поверхностно. И это далеко не все расходы клиники, а только та часть, которая обеспечивает непосредственно Ваше комфортное в ней пребывание и качественное лечение.
А ведь есть еще бухгалтер, которому надо платить зарплату, налоги, огромная армия обложивших со всех сторон медицинский бизнес чиновников (которые, давайте не будем кривить душой, все делают для того, чтобы жить не только на свою госзарплату... и не просто жить, а жить красиво и вкусно), расходы на обучение врачей (об этом стоит отдельно поговорить), расходы на развитие в виде покупки последних новинок оборудования и материалов, расходы на амортизацию уже работающего оборудования. И все это только, чтобы клиника существовала и развивалась. Но любая частная клиника - это еще и бизнес. А любой бизнес создается, чтобы приносить прибыль. Наивно было бы думать, что кто-то станет заниматься весьма хлопотным, с точки зрения организации, видом бизнеса, чтобы сводить концы с концами. Поэтому ко всем этим расходам на поддержание существования нужно еще теперь добавить прибыль владельца бизнеса.

Даже без абсолютных цифр теперь, думаю, понятно как много позиций влияет на конечную стоимость лечения, и за все это платит пациент, все это должно быть включено в цену каждой "пломбы". Безусловно, некоторые из озвученных переменных (красивый ремонт, расположение клиники в престижном районе, чай-кофе-аквариумы и т.д.), не влияют непосредственно на качество лечения, и ими вполне можно пренебречь, если Вы хотите сэкономить.
Но зато теперь должно быть понятно, что удивляться тому, что существует такой разброс цен, не нужно. Никого ведь не шокирует, что новый автомобиль можно купить и за 150 тыс. руб. (например, Оку) и за 150 тыс евро, (какой-нибудь Porsche Cayenne... не самый дорогой авто, но все же), т.е. в 40 раз дороже! И пусть кто-нибудь скажет, что между ними нет никакой разницы, а также между сервисом, который сопутствует покупке и владению этими автомобилями.
Но это мы поговорили только о тех составляющих цены лечения, которые можно измерить деньгами. А ведь есть и те, которые сложно выразить в конкретной сумме дензнаков. Речь о знаниях, опыте и профессионализме конкретного врача. Они, между прочим, тоже не из воздуха берутся, а большей частью покупаются все за те же деньги. Причем немалые деньги. Хорошая книга по стоматологии (как правило, иностранных авторов, в оригинале или в переводе) стоит от 100 евро, в среднем около 300. 1-2-дневный теоретический семинар по какой-нибудь весьма узкой проблеме в среднем 400-500 тех же евроденег, практический мастер-класс - и 1000, и 2000 запросто. Если с выездом в другой город или страну - прибавьте стоимость проезда, проживания, питания... Вобщем актуальные современные знания стоят очень дорого, ибо у хорошего врача и библиотека приличная, и учится он несколько раз в год.


Те знания, которые дает нам наше бесплатное образование в наших вузах, совершенно убоги и очень отсталы. Уровень преподавания крайне низкий. Оно и понятно - на настоящую науку государство нынче не тратится. Поэтому на кафедрах вузов, в основной массе, остаются те, кому интересна мышиная возня вокруг титулов и регалий. Эту возню с трудом язык повернется назвать научной деятельностью. Те единицы, которые, действительно, что-то знают и умеют, бесплатно делиться своими наработками не горят желанием. Да и материальная база на кафедрах даже столичных вузов такова, что даже если бы желание и присутствовало, то многие манипуляции просто и не чем показывать, и не на чем. Те же кафедры занимаются и обязательной для всех докторов аттестацией, которую каждый обязан проходить раз в 5 лет. В теории она и должна поддерживать знания стоматологов на должном уровне. На деле же- это просто одна из возможностей на ровном месте высасывать деньги из практикующих докторов, ничего не давая взамен, кроме нужной для работы формальной записи в корочке. Таким образом, высококлассный врач, чтобы стать таковым, вынужден вкладывать в себя большие суммы реальных денег, а, значит, он не захочет "продавать" свои знания и умения за копейки. Это нормально. Поэтому, когда авторы программы нам предлагают лечить кариес за 500 р, считая более высокие цены разводом, возникает вопрос... а как себя должен ценить тот доктор, который выставит такую цену за свой труд? Если отбросить стоимость всех расходников... все накладные расходы клиники, о которых мы только что поговорили... что останется за час работы врача? От минуса до 0 р.? Это даже не смешно... Тогда на чем строили свои измышления журналисты, остается только догадываться. Почему их не возмутил в таком случае факт стоимости, скажем, полотен Пикассо или того же Малевича. Кусок холста, кисточка, черная краска стоят копейки... а много ли надо умений, чтобы нарисовать черный квадрат? Даже журналист Первого канала с этим бы справился. Осталось бы только продать результат за миллионы долларов и жить оставшуюся жизнь, припеваючи, не пудря мозг доверчивым гражданам своей низкопробной работой, да и стоматологи обзавидовались бы такой прибыльности со своими жалкими пломбами за 15 000р.
Стоимость лечения всегда обоснована. Это закон рынка. Если есть спрос, и клиника не разорилась, выставляя "атомный", с чьей-то точки зрения, ценник, значит, цена адекватная. Никто никого не заставляет одеваться в роскошных бутиках, ездить на майбахах и бентли. И глупо пытаться обличать их существование только потому, что это недоступно большинству. Так же глупо, как пытаться убеждать себя и окружающих в том, что условный бентли ничуть не лучше условной оки.

К сожалению, надо признать, что в нашей стране высокая цена никогда не является гарантией такого же высокого качества. Правда это касается отнюдь не только стоматологии. И при этом надо помнить, что слишком низкая цена - это 100% экономия на качестве. Все, что я писал выше, это доказывает... Это очевидно. И все что нужно здесь понять - как за свои деньги получить адекватный результат, чтобы по цене Porsche Cayenne Вам не всучили Оку. Частично ответ на это вопрос я раскрыл в статье выбор врача стоматолога. И было бы здорово, если бы господа журналисты нам и рассказывали с экранов ТВ про то, как должно выглядеть качественное лечение, не пугать нас страшилками, а образовывать и поднимать общий уровень знаний о возможностях современной стоматологии. Правда, это опасно... не дай Бог «простой народ» заметит, что качественная стоматология так от него далека. А то, чем пичкает его заботливое государство через систему ОМС - это каменный век. Неудобно может получиться. Как раз очень хорошо все это иллюстрирует блок передачи с историей певца, который запустил зуб, получил обострение и помчался с ним наугад в ближайшую к дому стоматоложку, где его некачественно полечил якобы не врач даже... Авторам надо было бы заострить свое внимание на безответственном отношении певца к своему здоровью, да еще и принцип выбора врача (вернее полное отсутствие оного) покритиковать. Но так рейтинга не будет. Нелогичные и бредовые наезды на частную стоматологию и поиск врага в лице зажравшихся стоматологов куда более перспективны в этом плане... В самом деле, неужели журналисты пошли бы в высокие кабинеты узнать, почему у нас такое убогое бесплатное мед.образование, почему у нас такая убогая и некомфортная бесплатная медицина, почему по нормам ОМС в поликлинике выделяется только 30 мин на пациента, и почему по тем же стандартам помощи в рамках ОМС пациентам положены только прошловековые материалы и методики лечения... Только за такую передачу можно и работы лишиться на главном канале страны, да так, что потом на самый замшелый провинциальный не возьмут.
А кушать-то хочется... Оно и понятно. Вот только такой непрофессионализм тв-шников бросает тень на тех, кто, вопреки всему, старается работать на высоком современном уровне, выводя нашу стоматологию из каменного века советского периода. А слишком малое, в масштабах страны, количество высококлассных профессионалов позволяет им себя ценить высоко, в т.ч. и в денежном плане.
Как правильно в заглавии расставить запятые? Что нужно знать, чем руководствоваться при принятии решения о сохранении или удалении этих проблемных с точки зрения стоматологии зубов? Попробуем разобраться.
«Зубы мудрости» или «восьмерки» появляются у человека обычно ближе к 20 годам, плюс-минус несколько лет (значительно чаще плюс, чем минус)… Не все к этому возрасту действительно мудреют, но в народе их так стали называть, намекая именно на их позднее появление. При этом, несмотря на название, ума нам 8-ки не прибавляют, а вот хлопот – устанем перечислять. Почему же так происходит?
Так уж заложено в природе: все, что ей не нужно, постепенно исчезает. Человек уже давно добывает себе пищу не в лесу, а в супермаркете, ест не сырое жесткое мясо и корешки растений, а рафинированный «Биг Мак»… Поэтому у нас уже нет большой необходимости в таком количестве жевательных зубов и в таких больших массивных челюстях, какие были у наших предков. И вот поэтому эволюционируем мы с вами в направлении уменьшения челюстей и количества зубов. Уже и сейчас встречается немало «продвинутых» в эволюционном плане индивидуумов, у которых вообще отсутствуют зачатки 8-ых зубов (и не только их, но, бывает, и резцов, и клыков, что менее приятно). Хотя все же, на данный момент, это скорее исключение из общего правила. А вот дефицит места в челюстях для всех 32 зубов, наоборот, скорее правило. И поскольку именно зубы мудрости появляются самыми последними, то им этого самого места в зубных рядах обычно и не хватает. Поэтому мы и имеем столько проблем с ними. Это лишь один из факторов, но, пожалуй, один из главных.
Теперь разберем, какие именно проблемы нам могут доставить «мудрые зубы».
Ретенцией называется состояние, при котором зуб по разным причинам не смог прорезаться в положенное ему время и в нужном месте. Ну, а при полной ретенции, соответственно, зуб вообще не показывается наружу и остается лежать внутри челюсти.

Такой расклад мог бы считаться вполне неплохим. Т.к. зуб лежит себе внутри челюсти, никого не трогает, не беспокоит… казалось бы, да и Бог-то с ним. Вобщем, так оно и есть. Бежать со всех ног выковыривать его из челюсти, пожалуй, не стОит. В таком виде он может пролежать там всю жизнь и хлопот не доставить. А может быть и не совсем так. Вокруг такого зуба может появиться т.н. фолликулярная киста. Поэтому лучше всего такие непрорезавшиеся зубы наблюдать, делая хотя бы 1 раз в год ортопантомограмму*. Ну… или удалить все же такой зуб, навсегда забыв про него и про необходимость слежки за ним. В конце концов, в жизни есть много других вещей, о которых приходится постоянно думать и помнить.
По аналогии, здесь речь идет о тех случаях, когда зуб мудрости все же частично смог прорезаться, но не до конца. Что ему чаще всего мешает? Либо мощный костный выступ челюсти, либо неправильное положение зачатка, либо соседняя 7-ка… вобщем причин может быть много, суть остается неизменной – часть непрорезавшегося зуба остается внутри, а часть – торчит снаружи. Это наиболее частая ситуация и именно она чаще всего и приводит к различным реально ощутимым проблемам. Каким именно?
перикоронарит - пожалуй, самое частое осложнение частично прорезавшегося зуба мудрости. Это воспаление в тканях, окружающих этот самый проблемный зуб – в десне и кости. Проявляется болью, отеком и покраснением десны, затруднением глотания, повышением температуры.

Часто пациенты пытаются в таких ситуациях заниматься самолечением – полощат зуб разными снадобьями у кого что под рукой (от отвара ромашки до пятизвездочного коньяка), глотают бесконтрольно обезболивающие таблетки, или, что хуже, антибиотики. Действительно, от таких мероприятий (особенно от антибиотиков) воспаление может утихнуть. Но неустраненная причина рано или поздно приведет к рецидиву. Более того, любое воспаление в области зубов мудрости может легко развиться до абсцесса или флегмоны лица и шеи, а это уже серьезные, опасные для жизни хирургические проблемы. И лечат их, в том числе, проведением наружных разрезов на лице и шее. И это действительно серьезно. Не буду вставлять здесь малоаппетитные картинки, запрос в любом поисковике поможет создать дополнительную мотивацию любому неверующему Фоме.
Надеюсь, я достаточно испугал, чтобы не возникало желания заниматься самолечением в таких случаях. Обязательно нужно посетить стоматолога-хирурга. Если он не увидит проблем в дальнейшем прорезывании восьмерки, то просто уберет нависающую над зубом десну («капюшон») и назначит нужные лекарства. Если же зуб объективно уже не сможет нормально прорезаться, то его надо будет удалить. Только так можно устранить причину и уберечь себя от рецидивов воспаления, а также от серьезных гнойных осложнений изначально пустячной проблемы.
кариес корня соседнего 7-го зуба. Часто, когда 8-ка «застряла» и не имеет шансов прорезаться дальше, но и не беспокоит, пациенты и не думают обращаться к доктору, т.к. «не болит». На самом деле, такой полупрорезавшийся зуб, затрудняет нормальную гигиену в этой области и это приводит к поражению кариесом соседнего зуба. Причем самое неприятное в этом варианте то, что кариес развивается около самого основания зуба, развивается незаметно, полость долгое время может оставаться незаметной. В результате вырастает огромная «дыра», уходящая глубоко под десну, и восстановить такой дефект качественно не всегда потом возможно. Как финал – потеря хорошего соседа из-за неубранного вовремя «мудрого зуба». Причем восполнить утраченную 7-ку можно будет только имплантом (что недешево), либо съемным протезом (что неудобно в пользовании и заметно снижает качество жизни)


резорбция (рассасывание по-простому) корня соседнего 7-го зуба. Вобщем, ситуация аналогичная предыдущей, с теми же последствиями. Отличие лишь в том, что упершись в своего соседа, «мудрый зуб» может оказаться весьма настырным и своим давлением на 7-ой зуб вызвать рассасывание его твердых тканей.


потеря кости со стороны соседнего 7-го зуба… это третья вариация на тему того, что за проблемным, но с виду не беспокоящим зубом мудрости, может запросто пострадать ни в чем не повинный хороший и нужный его сосед. Неполностью прорезавшийся зуб мудрости, упершийся в 7-ку, может создать пространство, в котором будут скапливаться остатки еды. Это вызовет образование пародонтального кармана и потерю кости между 8-кой и 7-кой. А результат все тот же – удаление обоих зубов, костная пластика и имплантация 7-ки.

хроническая травма слизистой. Нередко криво прорезавшиеся зубы мудрости (особенно верхние) при жевании вызывают хроническую травму слизистой щеки и десны на противоположной челюсти . Это неприятно как само по себе, так и в плане прогноза – любая хроническая травма одного и того же места может привести к озлокачествлению.


блокирование нормальных движений нижней челюсти с возможным развитием проблем височно-нижнечелюстного сустава. Это более редкая проблема, но все же она тоже имеет место. Каждый зуб в зубных рядах имеет свою пару на противоположной челюсти – зуб-антагонист. И 8-ки не являются исключением. При удалении или непрорезывании одного зуба мудрости из пары, происходит выдвижение другого, противоположного. В результате он может блокировать движения нижней челюсти, вызывать ее смещение в нефизиологичное положение при жевании. Это может протекать вполне бессимптомно до поры, когда не начнутся проявления в суставе – щелчки, хруст, боль… и т.д.


Ну, и теперь несколько слов о том, что может быть с зубами мудрости, которые все же ухитрились прорезаться на своем месте и вполне ровно. Неужели и в такой ситуации они могут доставить неудобства? Оказывается, могут.
Основная проблема с вопреки всему правильно выросшими 8-ками заключается в их труднодоступности… как для гигиенических мероприятий, так и для качественного лечения. Лень, торопливость, повышенный рвотный рефлекс – это самые распространенные причины того, что гигиена зубов мудрости, как правило, недостаточна для профилактики возникновения на них кариеса. По этой же причине затруднено и качественное лечение. Плохая видимость, сложности с наложением коффердама, частое «эксклюзивное» строение каналов , делающее их труднопроходимыми даже для хорошо подготовленных и оснащенных эндодонтистов, затрудненное открывание рта у пациента (а даже и при нормальном открывании подобраться с инструментом к восьмерке не так-то просто), тот же повышенный рвотный рефлекс у пациента… Все эти объективные сложности заставляют зачастую принимать решение об удалении внешне благополучных 8-ок. Ибо лучше один раз хорошо удалить и забыть про проблему, чем много раз переделывать один и тот же зуб, и потом… все равно удалить.
Есть доктора, необоснованно расширяющие показания для лечения 8-ых зубов, т.о. вроде бы проявляющие неподдельную заботу о зубах пациента, а на деле… А на деле получается сначала лечение небольшого кариеса, через небольшое время - рецидива кариеса, потом уже пульпита, потом периодонтита… и, наконец, закономерное удаление через несколько лет. Вроде бы ничего не поменялось, кроме того, что доктору удается снять несколько «урожаев» с одной и той же проблемы, прежде чем ее действительно решить. Не всегда это происходит злонамеренно, некоторые действительно считают, что продлевают жизнь 8-кам во благо пациента. Тем более, и сами пациенты об этом часто просят. При этом нередко приходилось слышать от противников удаления 8-ых зубов, что «удалить всегда успеется», «свое есть свое и ни за что его не отдам», «потом, случись, что с 7-кой, можно будет поставить мост с опорой на 8-ку». Я думаю, все предыдущие примеры достаточно красноречиво говорят о том, что не всегда «успевается удалить» вовремя. Если расставаться со своими зубами в пользу стоматолога так жалко, то можете забрать их сделать стильное украшение на долгую память… и Вашему здоровью польза, и Ваша мудрость останется всегда при Вас.
А что касается 8-ок как опоры для мостовидных протезов, то уже прошло то время, когда об этом можно было говорить всерьез. Сегодня имплантация решает проблемы отсутствия любого зуба без необходимости «точить» соседние. К тому же зубы мудрости в принципе не должны нести нагрузку за своих более нагруженных в функциональном плане коллег (6-ки и 7-ки), т.к. они совсем для этой работы не приспособлены. Попробуйте подиумную модель, всю жизнь сидящую на диетах, заставить не просто поднять штангу, а установить новый мировой рекорд в женской тяжелой атлетике… Боюсь, ее просто раздавит спортивным снарядом, который запросто тягают подготовленные женщины-спортсменки. Ибо каждому свое… Так же и у зубов. У 6-ых и 7-ых зубов есть 3, а то и 4 разнонаправленных мощных корня, которые природа сочинила для противостояния большим жевательным нагрузкам. А у восьмых зубов почти всегда корни срастаются в единый монолит, который имеет конусную форму и совсем не так устойчив – ему бы дай Бог самого себя удержать в челюсти. А если на такой корень некоторые несознательные стоматологи-ортопеды пытаются навесить еще и дополнительную нагрузку, то этой 8-ке довольно быстро приходит конец, совсем как модели-«тяжелоатлетке»… Еще одна неприятность, с которой приходится часто сталкиваться уже ортодонтам… 8-ки могут вырасти… и вырасти вроде бы правильно и хорошо, но ценой того, что остальные зубы будут совершенно беспардонно подвинуты, а доктор констатирует у Вас скученность зубов.
И поскольку процесс этот не сиюминутный, то замечается это уже обычно поздно. Цена такой невнимательности – удаление 8-ок и ношение брекет-системы.
Итак, если подвести итоги, то в подавляющем большинстве случаев восьмерки – это настоящая головная боль, как для пациентов, так и для стоматологов. Современному человеку (если он не живет в лесу жизнью наших далеких предков) они действительно нужны постольку-поскольку. Т.е. если Ваши зубы мудрости выросли ровно и на своем месте, Вы способны холить и лелеять их наравне со всеми остальными, то, слава Богу! Пусть жуют. Хотя могу признаться по своему опыту, таких счастливчиков - подавляющее меньшинство. Ежели появились признаки одной из вышеупомянутых проблем, то не нужно мешкать, бояться и сожалеть потерять часть себя… Зубы мудрости – далеко не самое ценное в нас. И без них жизнь не становится хуже, а скорее наоборот. Вот этого «наоборот» Вам и желаю!.. С зубами мудрости или без них.
Присмотритесь после окончания лечения к реставрации на жевательных зубах. Они не должны быть плоскими, напоминая поверхность стола. Рельеф зуба в виде бугорков и "трещинок" между ними (фиссур) имеет свою функциональную (очень важную!!! надо сказать) роль. И поэтому должен быть восстановлен максимально близко к природному. Даже если предыдущий врач этого не сделал. Бывали случаи, когда пациентам, долгое время проходившим с такими "столами" во рту, изготавливалась правильная, с точки зрения рельефа, реставрация, они жаловались, что зуб стал неровным, язык лезет в эти неровности и лучше бы их спилить, чтобы было как раньше и т.п. Не всегда удавалось сразу объяснить почему так важно, чтобы эти "неровности" на зубе были восстановлены. Так вот, очень часто приходится видеть пациентов, у которых таких вот "столов" налеплено на каждом жевательном зубе. В итоге длительного хождения с такими пломбами (ведь они на непрофессиональный взгляд могут быть совершенно нормальными - зуб не болит, пломба много лет на месте, значит врач-"столяр" с золотыми руками, и многие годы пациент ходит к нему) происходит "снижение высоты прикуса" (прошу прощения у коллег за упрощенный термин), соседние здоровые зубы подвергаются повышенному износу, могут возникнуть проблемы в височно-нижнечелюстном суставе. В итоге в какой-то момент пациент "попадает" на достаточно сложное и дорогостоящее лечение по полному восстановлению зубных рядов и лечение сустава. А всего-то не был вовремя восстановлен рельеф и правильная анатомическая форма жевательных зубов.


Cостоялось официальное открытие стоматологического центра"DIPLOMAT". В процессе праздника разыгрывались дисконтные карты центра и подарочные сертификаты. Живая скрипка и саксофон наполнили звуком антураж центра
читать далее
Поздравление стоматологического центра "Дипломат"
смотреть видео